新闻网
热点新闻
春城晚报全网矩阵
微博号:
视频号:
其他号:
俗话说:“民以食为天”。然而,在肿瘤、吞咽障碍等疾病影响下,患者常因无法经口进食,导致重度营养不良,甚至引发或加重恶病质,最终危及生命。近日,昆明同仁医院肿瘤科专家团队成功为一名喉恶性肿瘤患者实施了胃造瘘手术,有效改善了患者的生存质量。
李先生(化名)是一名喉癌患者,气管造口术后他不仅饱受造口分泌物多、口腔反复溃疡等困扰,连轻微吞咽都会剧痛,经口进食时更是呛咳不止,只能依赖鼻饲管维持营养。然而,长期的鼻贴固定导致他鼻翼两侧皮肤破溃,鼻腔干燥发痒,痛苦不堪。更糟糕的是,由于鼻肠管反复堵塞,注食变得异常困难,营养摄入无法保证,李先生的身体每况愈下。
在辗转多家医院后,患者慕名来到昆明同仁医院肿瘤科寻求帮助,吴伦副主任详细了解病情后发现,患者的情况远比想象中棘手,长期的营养不良和病痛折磨,让他的身体非常虚弱,最理想的方案是进行“胃造瘘手术”,即在腹壁直接开一个通道到胃里,避免鼻咽部的刺激。
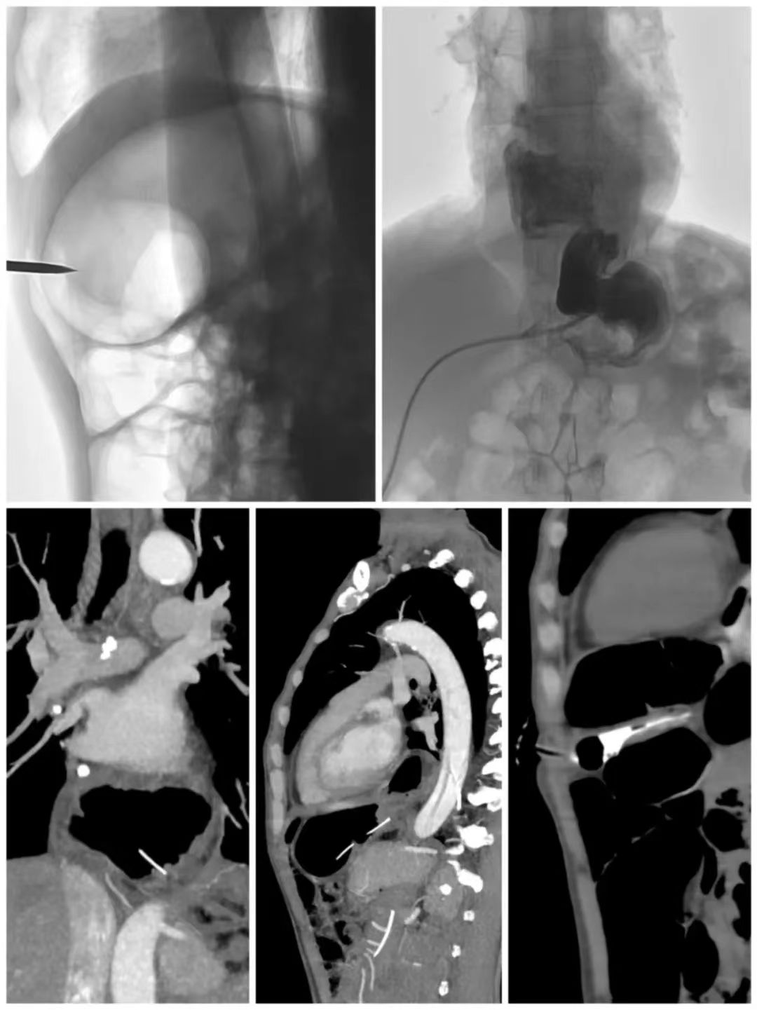
然而,影像检查结果却发现胃造瘘之路有两个“拦路虎”——“食管裂孔疝”和“间位结肠”。
食管裂孔疝:意味着胃的一部分“跑”到了胸腔里,胃的正常解剖位置发生了改变,这会让穿刺定位变得异常困难,且极易损伤周围组织。
间位结肠:这是一种罕见的解剖变异,部分结肠异位到了肝脏和膈肌之间。这意味着,在常规的胃造瘘穿刺路径上,结肠“意外”地挡在了前面,盲目穿刺极有可能刺穿结肠,导致致命的腹腔感染。
这两个合并症,让胃造瘘手术从一项常规操作,瞬间升级为高难度、高风险的相对禁忌手术,这也是此前多家医院望而却步的原因。
面对这块“硬骨头”,昆明同仁医院肿瘤科专家团队没有退缩。“患者把希望寄托给我们,我们就必须想方设法,不能因为风险高,就剥夺他改善生活质量的权利。”吴伦医生说。经过多次讨论,团队最终制定了一套详细而周密的手术方案:利用医院先进的数字减影血管造影(DSA)和锥形束CT(CBCT)设备,为手术打造“双重保险”。
术中,在DSA影像的引导下,吴伦医生将造影导管置入胃腔并注入空气,使胃壁与腹壁贴合,为穿刺创造条件。随后,团队凭借CBCT生成的三维图像,精准掌握食管裂孔疝与间位结肠的解剖关系,凭借实时透视功能,穿刺针精准避开危险区域,沿安全路径一次成功穿入胃内,整个过程一气呵成。
经过一段时间恢复,李先生的状态明显好转。腹壁上小小的造瘘口,取代了那根令他痛苦不堪的鼻饲管,鼻翼的破溃开始愈合,鼻腔的不适感也消失了。

新闻多一点:
胃造瘘手术是一种特殊的管饲营养方法,通俗地说,就是在腹部开一个“小窗口”,用导管直接将胃腔与外界相通,营养物质无需经口就能直接到达胃腔,适合需要数周、数月甚至更长期营养支持的患者:
神经系统疾病:如脑卒中、肌萎缩侧索硬化(ALS)、帕金森病晚期等导致的严重吞咽困难;
头颈部癌症:如口腔癌、咽喉癌、食管癌等,影响吞咽功能,或在放疗、手术期间无法进食;
严重创伤或烧伤:患者处于高代谢状态,但无法经口满足巨大的营养需求;
意识障碍患者:如长期植物状态、严重痴呆等;
其他:某些先天性畸形、呼吸机依赖患者等。
开屏新闻记者 赵维
昆明同仁医院供图
一审 颜媛
责任编辑 陶彦然
责任校对 刘连红
主编 曹婕
终审 编委 李荣
滇公网安备53011202001054号