新闻网
热点新闻
春城晚报全网矩阵
微博号:
视频号:
其他号:
近日,陕西西安的修理师傅章先生经历了惊险时刻。当天,章先生正在修理水管,而下一刻他自己的“生命水管”开始疯狂渗血——作为人体血液总管道的胸腹主动脉撕裂,血液正从破口喷涌,左侧胸腔已有1700ml积液,相当于成人全身血量三分之一!他的心脏几乎在“空转”。
“当时正弯腰拧水管,突然背后像被什么东西撕裂一样疼,一下子就晕倒了。”事后清醒的章师傅回忆起发病的那一刻,仍心有余悸,他毫无征兆地出现左背部撕裂痛,休息后不仅没有缓解,反而愈发严重,大半夜救护车载着他一路疾驰到医院。
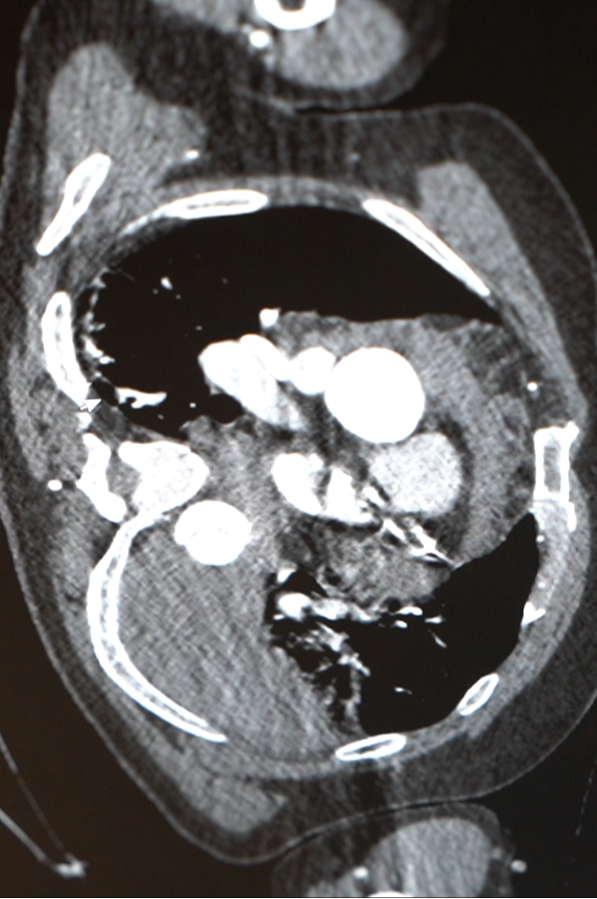
急诊检查结果不容乐观:胸腹主动脉夹层伴胸腔大量积液、纵隔积液——这些积液,考虑是从撕裂的主动脉里漏出来的!
医院心脏血管外科团队紧急会诊,这虽是B型主动脉夹层,但极其凶险,而且他已出现休克表现。“主动脉夹层就像水管壁分层开裂,一旦完全破裂,血液会瞬间涌入胸腔,没有任何抢救机会。他这种情况,已经是命悬一线。”心脏病院副院长张金洲语气凝重。



好在经过医务人员63分钟的紧急抢救,章先生终于脱离了生命危险。可是危机并未完全解除。术后的章师傅心率快,血压持续偏低,转入心外ICU,主管医生时乐祥发现,他的心脏因失血过多几乎呈“空泵”状态。
“当时他胸腔里的术前积血还在不断渗出,术后引流血性液体达 1700 毫升,相当于普通人全身血液的1/3。”心外ICU主任赵蕾回忆道。在长达6天的救助与护理之后,章先生终于在这场与死神的拔河中胜利了。
医生提醒:
如出现症状,请立即就诊
主动脉夹层就像藏在身体里的“水管炸弹”,医生解释:主动脉是全身最粗的血管,就像家里的“主水管”,一旦因为血压太高、长期劳累等原因出现分层撕裂,血液就会冲进血管壁形成夹层,随时可能“爆管”。
高血压、肥胖、长期熬夜劳累者是高危人群,张金洲提醒,严格控制血压、血糖、血脂,以减重、调整生活习惯为基石,一旦出现突发胸背部撕裂样疼痛等症状,请务必立即拨打120就诊。
来源 西安国际医学中心医院、羊城晚报
责任编辑 易科彦
责任校对 罗秋旭
主编 林舒佳
终审 编委 李荣
滇公网安备53011202001054号